セラミックインレー
虫歯による浸食部分を削った後に、セラミックを詰める治療のことを言います。金属とは違うため、本当の歯と境目がつかないほど美しく自然な仕上がりになります。
せっかく歯の治療をするのであれば、
白くて長持ちする歯にしませんか?
虫歯で削った部分にセラミックを詰めたり、被せたり、歯の表面に貼り付けることで、歯並びや、歯の色、形を整えたりすることを「セラミック治療」といいます。
よくできたセラミックの歯は、歯科医師でも本物と見間違えることがあります。年数が経過しても変色せず、耐久性にも優れています。美しさだけでなく、長持ちすることも「セラミック」の特徴です。
保険適用対象の素材(コンポジットレジン、銀など)で詰めたり被せたりすると、見た目が悪かったり歯茎の変色を引き起こしたり、金属アレルギー誘発の原因になるという弱点があります。セラミックは生体親和性が高く、人工関節としても使用されているほど体に優しい素材です。
詰め物とかぶせ物の種類虫歯による浸食部分を削った後に、セラミックを詰める治療のことを言います。金属とは違うため、本当の歯と境目がつかないほど美しく自然な仕上がりになります。
歯の根の部分しか残っていない場合や、虫歯などで失った部分が大きい歯、大きさが不揃いな歯に、セラミックの冠を被せて、歯の色や形、歯並びなどをよく見せる治療です。
ホワイトニングでは改善が困難なテトラサイクリン(抗生物質)による変色した歯に、セラミックを被せることで自然な白い歯を手に入れることができます。
前歯の表面をわずかに削り、そこに特殊な技術で製作した薄いセラミックのチップを貼り付ける方法です。特殊な接着剤で貼り付けますので、剥がれてしまう心配はありません。
歯を削る部分は、エナメル質の表面のごく一部だけですので、歯へのダメージはほとんどなく、テトラサイクリン(抗生物質)による変色や、歯の表面のデコボコ、一部が欠損している歯におすすめです。また、少しの歯並びの修正であれば、矯正治療を行なうよりも短期間で、白くてキレイな歯並びを手に入れることができます。
※本ページに掲載している金額は、治療実施当時の料金です。
現在の料金体系や保険適用状況とは異なる場合がございます。
記載内容はあくまで参考情報であり、最新の料金・治療内容については必ず事前に当院へご確認ください。


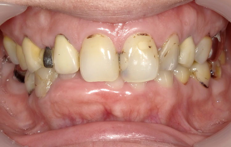
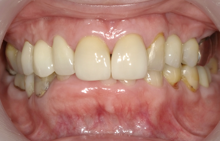
| 主訴 | 見えるところを清潔感のある綺麗な歯にしたい。 |
|---|---|
| 治療 期間 |
約3年半(保険診療・歯周病治療・インプラントを含む) |
| 治療費 | 約1,400,000円(保険診療別途) |
| 治療 内容 |
虫歯治療や根管治療を行い右上1箇所はインプラントを埋入。 奥歯以外にセラミックの被せ物を使用。 削る量を減らす為、前歯にはベニアを使用。 |
| 治療の リスク |
仮の歯の期間、脱離や破折といった不便さあり。 |