マウスピース矯正
こんな「歯並びのお悩み」は
ございませんか?
- デコボコ
している - 受け口が
気になる - すきっ歯を
治したい - 口が
閉まらない - かみ合わせが
深い - 出っ歯で
悩んでいる
当院が
おすすめする治療で全て解決!
目立ちにくい矯正「インビザライン」
マウスピース型矯正の1つで、個々の人に合わせたオーダーメイドの矯正装置(アライナー)です。ぜひ、お気軽にご相談くださいませ。
無料ご相談窓口はこちら【無料】歯並びの矯正相談を
実施致しております。
矯正の費用や歯並びの
お悩みなどお気軽にご相談下さい。
お口の中のスキャンデータをすぐに撮影
自分の歯並びがその場で確認できる
口腔内3Dスキャナー
『iTero element(アイテロ エレメント)』
を導入しています。
口腔内スキャナーは、口の中をセンサーでスキャンして、3Dで歯並びを見ることが出来る装置です。モニターの右側にあるスキャナー部を歯にかざして読み取っていきます。スキャンは、5~10分で終わります。患者様は口を開けているだけで大丈夫です。
出っ歯・すきっ歯・ガタガタな
歯並びもキレイに
理想の歯並びを実現するマウスピース矯正
当院のコーディネート力
経験豊富な矯正歯科指導医による
安心矯正を提供
※矯正治療後は保定装置を使用しなかった場合、後戻りが生じる可能性高くなります。
マウスピース矯正を検討中の方へ
森本 洋孝
毎月最終週の火曜日にインビザラインというマウスピース型矯正装置を用いた歯列矯正担当医として出勤しております。
口元を整える、歯を並べるだけでなく、しっかり噛むことが出来るお口を患者さまにご提供できるよう日々診療に従事しております。
インビザライン矯正治療は、綿密な治療計画と患者さまとの協力関係が揃うことで達成される矯正治療です。歯ならび、噛み合わせでお悩みの方はどんな些細なことでも結構ですので、お気軽にご相談ください。
また、加速矯正、遠隔診療も行っております。早く動かす、通院間隔を減らす矯正治療も対応可能です。
【無料】歯並びの矯正相談を実施
スタッフとのチームワークを大事にし、
笑顔あふれる歯科医院を目指します
はじめまして、ハシモトデンタルオフィス 忠岡分院の院長の片岡 慶一と申します。お口の健康を保つことはステキな笑顔を保つことにも繋がります。1人でも多くの方に笑顔になって頂けるよう、安心と信頼のある治療を心掛けて日々診療しています。何か気になることがあれば、いつでも気軽にご相談ください。
インビザラインの治療費
お支払い方法について
現金やクレジットカードでの分割払いの他に、36回払いまで金利手数料が無料なデンタルローン(歯科治療専門のローン)もご用意しています。
患者様のライフスタイルに合わせた、無理のない範囲でのお支払い方法をご提案いたします。 また、インビザラインは医療費控除の対象にもなりますので、お気軽にご相談ください。
基本料金
下記は基本料金になります。
| 初診・相談料 | 無料 |
|---|---|
| 精密検査・診断料 | 55,000円(税込) |
| 通院1回ごとの調整料 | 5,500円(税込)/ 回 |
小児矯正:インビザラインファースト
| 両顎矯正 | 583,000円/月額16,100円~(36回払い) |
|---|
大人部分矯正:インビザラインライト(14枚)
| 片顎矯正 | 385,000円/月額10,600円~(36回払い) |
|---|---|
| 両顎矯正 | 550,000円/月額15,200円~(36回払い) |
大人部分矯正:インビザラインiGo(21枚)
| 片顎矯正 | 352,000円/月額9,700円~(36回払い) |
|---|---|
| 両顎矯正 | 517,000円/月額14,300円~(36回払い) |
大人全顎矯正:インビザラインコンプリヘンシブ
| インビザライン枚数制限なし | 2024年12月31日まで 825,000円/月額22,900円~(36回払い) 2025年1月1日から 880,000円(税込) |
|---|
※上の歯、下の歯のどちらか片側だけ矯正治療した場合でも、一律の治療費になります。
※インビザライン治療のために歯を抜歯する場合は、1本につき5,500円(税込)、アライナー製作前に虫歯などの治療を行う場合は、治療費が別途必要になります。
症例
※本ページに掲載している金額は、治療実施当時の料金です。
現在の料金体系や保険適用状況とは異なる場合がございます。
記載内容はあくまで参考情報であり、最新の料金・治療内容については必ず事前に当院へご確認ください。
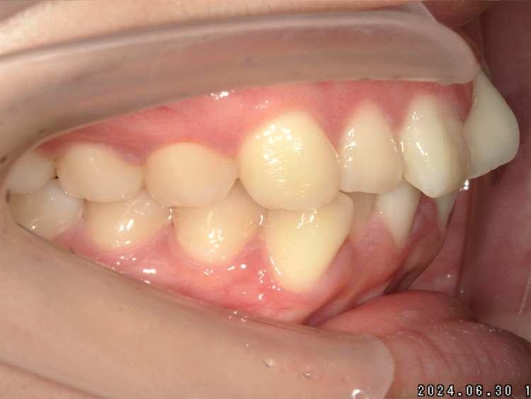
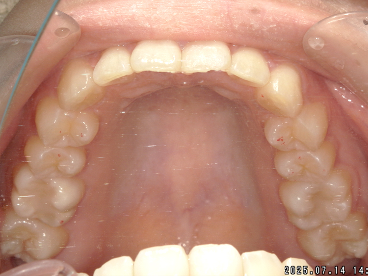
症例1
Before



After



| 主訴 | 上前歯の突出を治したい (出っ歯を治したい) |
|---|---|
| 年齢 | --- |
| 治療 期間 |
約5ヶ月 |
| 治療 内容 |
インビザラインiGoで上顎のみ治療。 前歯の歯と歯の間をごく少量削り、 前に出ている歯が入るスペースを作り、綺麗に揃えた。 |
| 治療費 | ¥352,000(税込)+月額調整料 |
| 治療のリスク | 歯と歯の間を削ることでスペースを確保するので、 場合によっては歯が染みる症状が出ることがある。 |
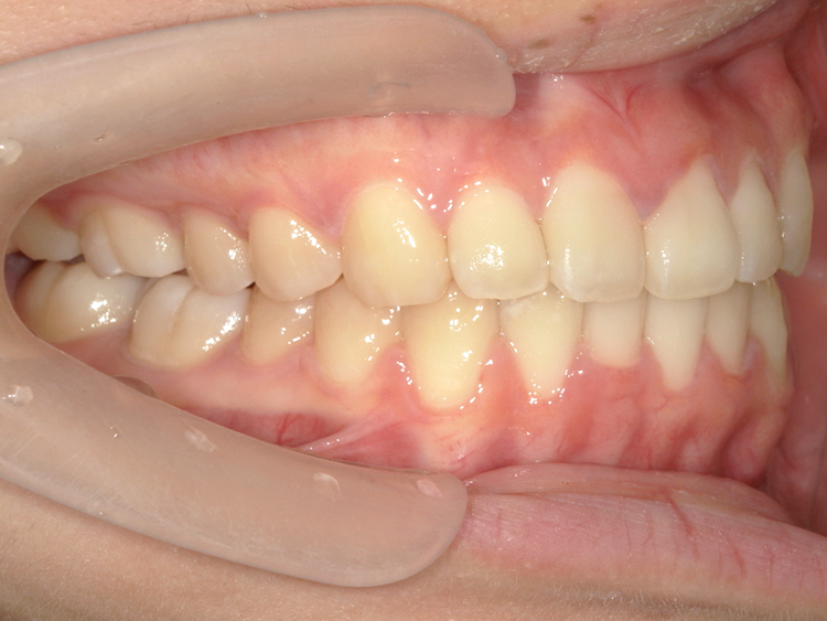
症例2
Before



After



| 主訴 | 上前歯のガタガタを治したい |
|---|---|
| 年齢 | --- |
| 治療 期間 |
約1年 |
| 治療 内容 |
インビザラインiGoで上顎のみ治療。 プチ矯正では前から3番目の歯は動かせないが、 この治療では動かすことができるので、 気になる箇所を綺麗に並べることができた。 |
| 治療費 | ¥352,000(税込)+月額調整料 |
| 治療のリスク | 歯と歯の間を削ることでスペースを確保するので、 場合によっては歯が染みる症状が出ることがある。 |
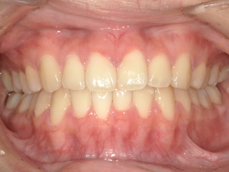
症例3
Before



After



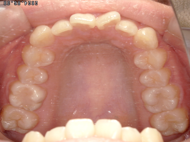
| 主訴 | 上下の歯のガタガタを治したい |
|---|---|
| 年齢 | --- |
| 治療 期間 |
約10ヶ月 |
| 治療 内容 |
インビザラインiGoで上下顎の治療。 狭まっていた歯並びを広げることで、 ガタガタに並んでいた歯を綺麗に並べた。 |
| 治療費 | ¥517,000(税込)+月額調整料 |
| 治療のリスク | 歯と歯の間を削ることでスペースを確保するので、 場合によっては歯が染みる症状が出ることがある。 |
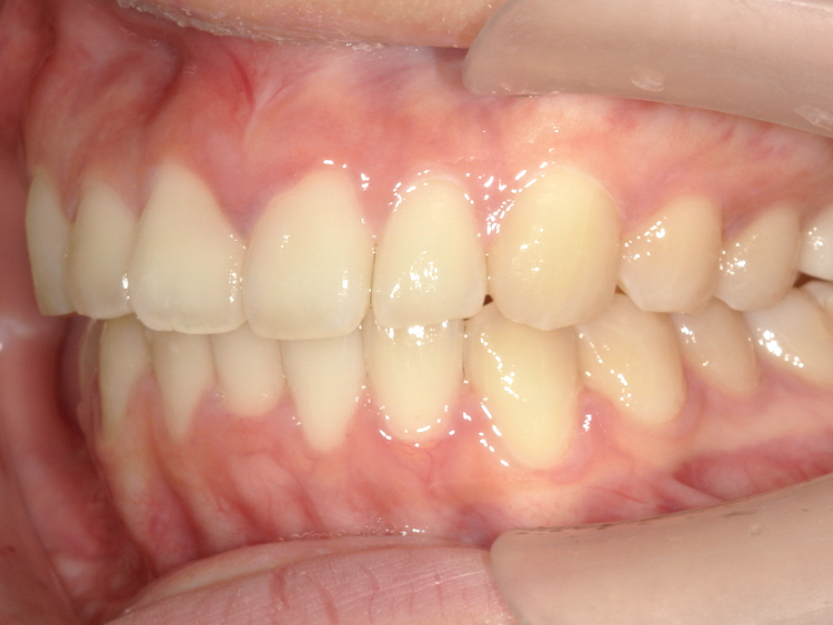
症例4
Before






After






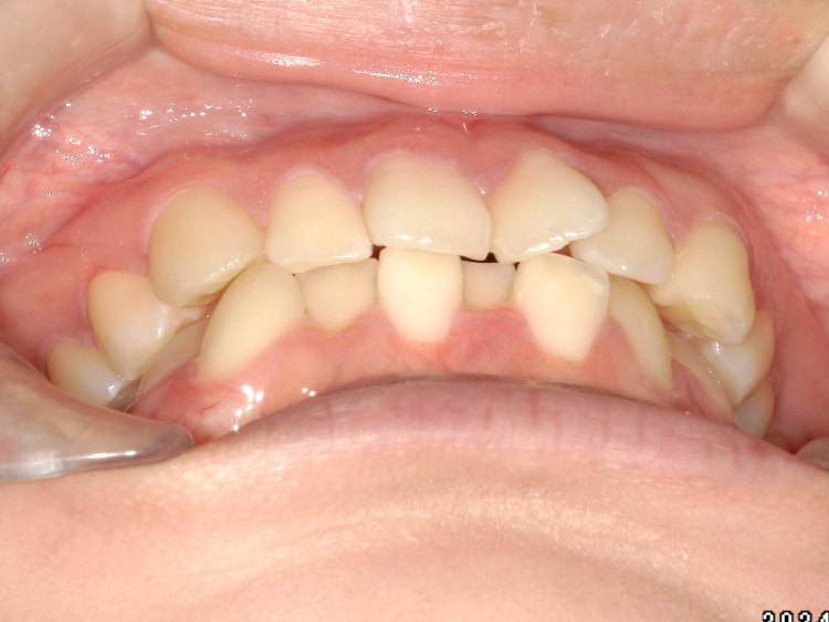
| 主訴 | 上下前歯のがたつき |
|---|---|
| 年齢 | --- |
| 治療 期間 |
約9ヶ月 |
| 治療 内容 |
インビザラインiGoで上下顎の治療。 |
| 治療費 | ¥55,000(税込)/調整料含む |
| 治療のリスク | 矯正終了後は、リテーナーを指示通りに使用し、歯の後戻りを防ぐ必要があります。 |
